“La curiosidad es el primer paso de la ciencia; si se siente ese interés, ya está dando algo muy valioso”

Cada 11 de febrero invita a mirar la ciencia con otra perspectiva: la de las mujeres y las niñas que la piensan, la investigan y la transforman todos los días. Esta fecha, impulsada a nivel internacional, busca visibilizar su trabajo, promover su participación plena y seguir achicando las brechas de género en los campos científicos y tecnológicos.

En la UNLZ, ese compromiso tiene nombres propios. Investigadoras de distintas facultades construyen conocimiento, abren caminos y se convierten en referencia para nuevas generaciones. En esta serie, conversamos con ellas sobre su recorrido, los desafíos del presente y el impulso que puede despertar vocaciones científicas en otras mujeres y niñas.

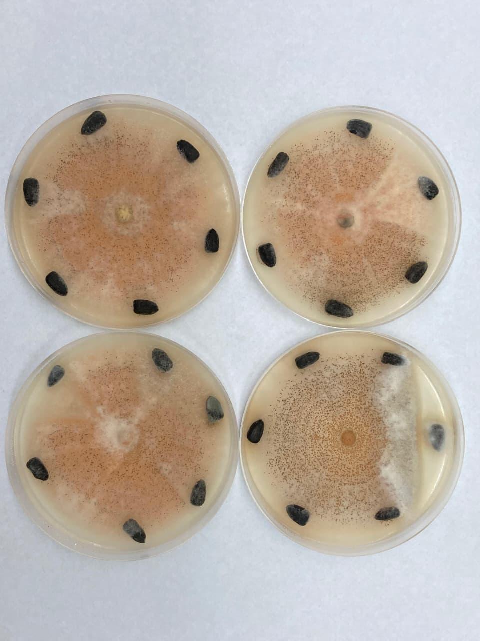
Silvia Sánchez es ingeniera Agrónoma recibida en la Facultad de Ciencias Agrarias de nuestra Universidad. Forma parte de la cátedra de Fitopatología, y actualmente integra el proyecto “Desarrollo de formulaciones con biopolímeros para el recubrimiento de semillas de oleaginosas”, dirigido por la Dra. Cyntia Szemruch. El proyecto, nos cuenta, “investiga el uso de biopolímeros naturales y biodegradables en el recubrimiento de semillas de girasol, soja y colza para reducir el uso de sustancias tóxicas y mejorar el control de plagas durante la implantación, garantizando la calidad de la semilla y su aplicación a escala productiva”.

-¿Qué te llevó a dedicarte a la investigación y cómo fue tu recorrido hasta llegar a este lugar?

Mis primeros pasos en la investigación se dieron durante mi etapa como estudiante de la carrera, cuando me incorporé como ayudante alumna en distintas cátedras. En ese contexto, los docentes responsables me invitaron a participar en proyectos de investigación, lo que marcó un primer acercamiento al ámbito científico. Hacia el final de la carrera obtuve, durante dos años consecutivos, la Beca de Estímulo a las Vocaciones Científicas otorgada por el Consejo Interuniversitario Nacional (CIN), experiencia que profundizó mi vínculo con la investigación y despertó definitivamente mi vocación por esta actividad.

Luego de graduarme, no me dediqué de manera exclusiva a la investigación, sino que desarrollé mi actividad profesional en el sector privado, desempeñándome en el área de laboratorio de semillas de la empresa Francomano Picardi, y como docente de educación media en el Instituto Agrotécnico San José. Sin embargo, nunca me desvinculé por completo del ámbito científico, ya que continué participando de proyectos de investigación de la Universidad Nacional de Lomas de Zamora como integrante externa.

Hace dos años tomé la decisión de dejar el sector privado y tuve el honor de que mi casa de estudios me convocara a formar parte de su equipo, esta vez ya no como estudiante, sino como profesional. Desde el año 2024 integro el grupo de investigadores del Instituto de Investigación, Producción Agropecuaria, Ambiente y Salud (IIPAAS) de la FCA.

Definitivamente, la investigación es lo que despierta mi pasión; sin embargo, los años que formé parte del sector empresarial me permitieron acercarme a las necesidades reales de los productores, brindándome herramientas clave para orientar el camino que hoy elijo recorrer en el ámbito de la investigación.

-¿Qué desafíos sentís que enfrentan hoy las mujeres en el ámbito científico y cómo los transitaste vos?

Creo que, en la actualidad, las mujeres en el ámbito científico aún enfrentan desafíos vinculados a la desigualdad de oportunidades, la necesidad de demostrar de manera constante su capacidad profesional y la dificultad de conciliar la carrera científica con la vida personal y familiar. Si bien se han registrado avances significativos en los últimos años, estas barreras todavía persisten, aunque en una escala menor.

En lo personal, no vivencié estos obstáculos de manera directa, ya que tanto en mi casa de estudios como en el ámbito empresarial en el que me desempeñé tuve las mismas oportunidades que mis colegas hombres. Aun siendo mujer y madre, encontré espacios de trabajo que promovieron la equidad y valoraron el compromiso y la capacidad profesional, lo que considero fundamental para el desarrollo de trayectorias científicas inclusivas.

-¿Qué le dirías a una niña o joven que siente curiosidad por la ciencia, pero no está segura de si “es para ella”?

Le diría que la curiosidad es el primer paso de la ciencia y que, si siente ese interés, ya está dando algo muy valioso. La ciencia no es solo para unos pocos ni responde a un perfil único: es un espacio diverso, que necesita miradas distintas, preguntas nuevas y personas comprometidas. Que no dude de sus capacidades, que se anime a preguntar, a equivocarse y a aprender, y que busque referentes y espacios que la acompañen en ese camino. La ciencia también es para ella, y su mirada puede hacer una gran diferencia.

Escribí y presioná enter

Shopping Cart